「ヒトメタニューモウイルス」はコロナの再来か?
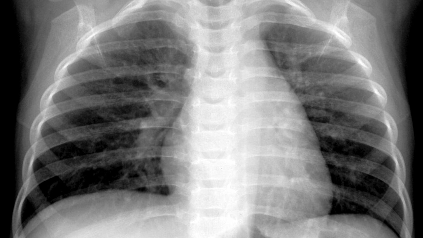
ヒトメタニューモウイルス(hMPV)に感染した生後4カ月の男児のレントゲン(写真:Hilmes et al., Pediatric Radiology, 2017 via The New York Time)
中国で呼吸器系ウイルスの感染者が急増しているとの報道は、ほぼ5年前の新型コロナウイルスのパンデミッ…
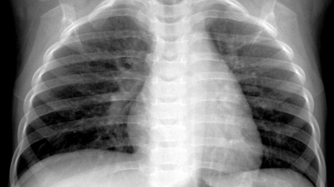
ヒトメタニューモウイルス(hMPV)に感染した生後4カ月の男児のレントゲン(写真:Hilmes et al., Pediatric Radiology, 2017 via The New York Time)
※過去1ヶ月以内の記事が対象
※過去1ヵ月以内の記事が対象
※過去1ヵ月以内の記事が対象
※過去1ヵ月以内の記事が対象