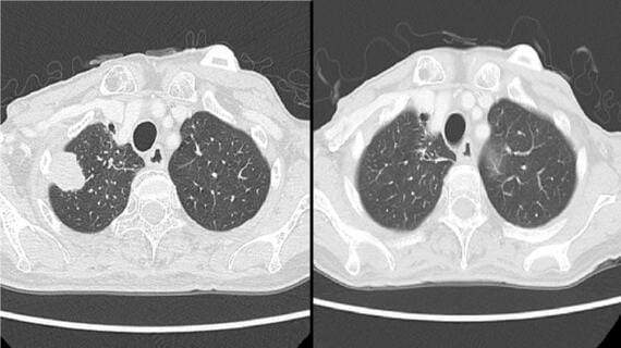
がん細胞は、ブドウ糖をエネルギー源とする――。これは、1931年にノーベル生理学・医学賞を受賞したオットー・ワールブルグ博士が、マウスの「癌性腹膜細胞」を用いた実験で解明し、1923年からの一連の論文で発表したものです。
2人に1人ががんに罹患し、3人に1人ががんで亡くなるとされる中、今日のがん治療の大きな問題点といえば、この90年以上も前に発見された事実が、まったく生かされてこなかったことに尽きるでしょう。今では、がん細胞は正常細胞の3~8倍ものブドウ糖を取り込まなければ、生命活動を維持できないことも分かっています。
ブドウ糖欠乏状態の体が生み出す「ケトン体」
その理由は、2つ考えられます。1つは、がん治療の現場において、患者の栄養管理や食事指導内容が軽視され続けてきたこと。そして、もう1つは、糖質の代名詞である炭水化物が、私たちが生きていくために必要な、3大栄養素の中核を担ってきたことです。
確かに、私たち人間の生命活動は、糖質が体内で分解されてできる、ブドウ糖を主なエネルギー源にしていると長く考えられてきました。しかし、結論から先に言えば、ブドウ糖が枯渇すると、人間の体内ではブドウ糖に代わる、緊急用のエネルギーが生み出されます。それが、私ががん治療の鍵としている「ケトン体」という酸性の代謝物質です。
このケトン体は、皮下脂肪や内臓脂肪が分解されることで産生されます。そして、正常細胞がケトン体をエネルギー源にすることができるのに対して、がん細胞は基本的にそれができません。がん細胞には、ケトン体をエネルギーに変える酵素が欠けているからです。
次ページが続きます:
【ケトン体が出る食事療法とは?】
